Il nostro obiettivo è farvi tornare a casa con il sorriso!

Gentile paziente,
La sua salute ed il suo benessere sono l'obbiettivo mio e di tutto il mio staff ed è in funzione di questo che abbiamo organizzato tutta la nostra attività.

Un bel sorriso è il risultato di una bocca sana: lo Studio Dentistico Lumbau si propone questo risultato dal 1986.

~ Dr. Stefano Lumbau

Studio Di Sassari

Via Torino, 24/A
07100 Sassari (SS)
(+39) 079 276901
(+39) 339 4640709

Studio Di Pozzomaggiore

Via Mastru Bachis, 3
07018 Pozzomaggiore (SS)
(+39) 079 801875
(+39) 339 4640709

Chi Siamo

Dr. Stefano Lumbau - Odontoiatra e protesista dentale

Il Dott. Lumbau si è laureato col massimo dei voti in Odontoiatria e Protesi Dentaria presso l'Università degli Studi di Sassari nel 1985 ed è regolarmente iscritto all'Albo Provinciale dei Medici e degli Odontoiatri di Sassari dal gennaio 1986.

Segue costantemente corsi di aggiornamento professionale.

È titolare di due Studi odontoiatrici a Sassari e Pozzomaggiore, dove esercita la libera professione e offre servizi odontoiatrici atti a risolvere le maggiori problematiche del cavo orale, occupandosi in particolare di: odontoiatria conservativa, protesi mobili e fisse, endodonzia e parodontologia, implantologia osteointegrata, estetica dentale e chirurgia orale.
Presta inoltre particolare attenzione all'igiene orale e alla prevenzione della carie.

Il Nostro Staff

Dott. Stefano Lumbau - Odontoiatra e Protesista Dentale.

Assistente alla poltrona sig.ra Valeria Verre.
Assistente alla poltrona sig.ra Chicca Sale.

Collaborazioni

Dott. ssa Maria Rosaria Lallai - Odontoiatra, specialista in Ortodonzia.

Lo Studio È Accreditato Direttamente Con

Servizi

Igene Orale

Scopo principale della pulizia professionale è togliere sia il tartaro sopra gengivale sia quello sotto gengivale, non visibile e non raggiungibile dallo spazzolino.
Il tartaro e la placca sono infatti responsabili...

Sbiancamento Dentale

Lo sbiancamento dentale professionale, consente di ottenere in una seduta risultati estetici ottimi e duraturi, eliminando macchie e decolorazioni che con il passare degli anni inevitabilmente cambiano il colore naturale dei denti rendendoli gialli e spenti...

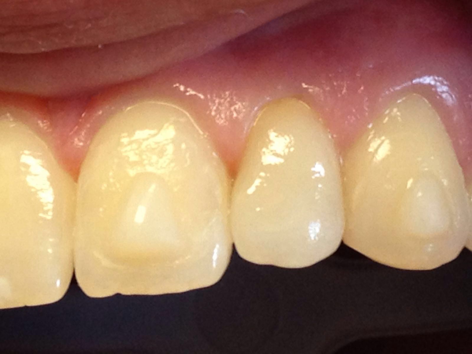
Estetica Dentale/Faccette

Il nostro studio attualmente ci permette di migliorare il tuo sorriso e l'aspetto dei tuoi denti in maniera semplice e indolore, grazie all'innovativo sistema di applicazione di faccette estetiche in ceramica integrale, su denti vecchi, malformati o fratturati...

Conservativa/Otturazioni

L'otturazione dentaria od otturazione odontoiatrica, intesa come procedura operativa, è una tecnica restaurativa volta al riempimento di una cavità creatasi in un dente in seguito ad un evento patologico o traumatico, allo scopo di recuperarne la funzione e...

Endodonzia

Nel nostro studio dentistico, effettuiamo trattamenti endodontici, comunemente conosciuti come cure canalari o devitalizzazioni.
Trattamenti che diventano necessari in determinati casi: quando la carie raggiunge i tessuti profondi del...

Implantologia

Lo studio dentistico Lumbau rappresenta una struttura che con competenza e professionalità si è sensibilmente qualificata nel campo dell'implantologia, utilizzando tecniche all'avanguardia che le permettono di ottenere un'alta...

Chirurgia Orale

Per chirurgia orale si intendono tutte quelle terapie chirurgiche limitate al cavo orale che sono compatibili con la struttura ambulatoriale.
I piccoli interventi chirurgici effettuati nel nostro studio dentistico, possono eliminare grossi disagi...

Protesi

Lo studio dentistico Lumbau offre qualsiasi soluzione protesica, sia nelle riabilitazioni semplici che complesse, sia su denti naturali che su impianti, di tipo fisso o rimovibile.
L'esperienza maturata negli anni, e i materiali...

Portfolio

  • ALL
  • Sbiancamento
  • Estetica
  • Impianti

Contattaci

Ci farebbe piacere metterci in contatto con te per sapere la tua opinione.

  • Sassari, Via Torino 24/a
    Pozzomaggiore, Via Mastru Bachis 3

  • Tel. (+39) 079 276901
    Tel. (+39) 079 801875
    Cell: (+39) 339 4640709

  • Lunedì - Venerdì: 9:00 - 13:30
    Martedì e Giovedì: 16:00 - 19:00
    Lunedì, Mercoledì e Venerdì Pomeriggio